
Vertical preparations and no-post fiber reinforced core for crowns - Hands-on - 17th of Apr 2026 - Copenhagen
Friday 17th of Apr 2026 - 8.30-17.30
Radisson Collection Royal Hotel
Hammerichsgade 1
1611 Copenhagen
Denmark
Course price
Before 1st of Mar: 7.495 DKK / 1.000 €
DentaNet Members save 10% on the fee
Course language
English
Course difficulty
Intermediate
Course rating
New Course
what did you think of the course overall?
New Course
To which extent would you recommend this course to a colleague?
About the course
Vertical preparations and no-post fiber reinforced core for crowns
For the third time this crown is coming loose with its "post and core build up", what can be done?
For those who believe that a tooth always works better than an implant, this course describes in detail contemporary biomimetic solutions capable of reinforcing residual tooth structures and thus improving the prognosis of the new restoration. This objective is based on the synergistic combination of minimally invasive preparation techniques ("vertipreps") and no-post fiber-reinforced core reconstruction, all of which are fully compatible with modern three-dimensional endodontic techniques.
Over the last fifteen years or so, "vertipreps" or preparations for crowns without clear finishing lines have made a comeback. Resurrections of the 'trace' cervical margin of the ancestral crowns with fitted rings, vertipreps or V-preps have logically accompanied the development of a new, highly resistant ceramic, zirconia.
These preparations offer the dual advantage of significant dental tissue savings, as well as unrivalled gingival conditioning and shaping.
The icing on the cake is that, by optimizing the ferrule effect, they act in synergy with modern coronal-radicular reconstructions, which are adhesive and have no root posts, thus strengthening residual dental tissue, particularly in the case of prosthetic re-treatment.
Aims, Objectives and Learning Content:
Guided by a biomimetic and minimally invasive philosophy, you will learn over the course of this intense day, combining theoretical lectures and practical work:
- How to remove, or why not remove, existing coronal-radicular reconstructions
- How and why to create an internal adhesive ferrule without a post
- How to prepare vertically finished prosthetic margins
- How to condition gingival tissue using temporary crowns.
Hands-on:
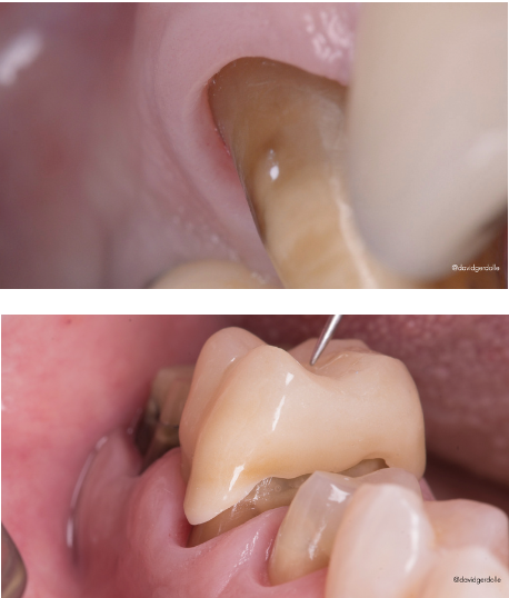
1. Isolation of endodontically treated tooth 2.1
2. No-post fiber reinforced core building on tooth 2.1
3. Shoulderless preparation on tooth 2.1
4. Provisional crown and crown margin design
Course programme
8:00 - 8:30: Registration, light breakfaast
8:30 - 9:30: about margins, vertical vs horizontal
9:30 – 10:30: about material, the forever reason why
1. Can we bond or not?
2. How to match resistance and aesthetics
3. How to design the prosthetic margin & framwork?
10:30 - 11:00: coffee break
11:00 - 13:00: clinical sequences for preps & core
1. No-post Fiber-reinforced composite core
2. Shoulderless preparation, the rule of three (preparing, conditioning, retracting)
3. About lab procedures
4. About cementation procedures
13:00 - 14:00: lunch break
14:00 - 15:00: live demo on models
1. Isolation of endodontically treated tooth 2.1
2. No-post fiber reinforced core building on tooth 2.1
3. Shoulderless preparation on tooth 2.1
4. Provisional crown and crown margin design
15:00 – 15:15: coffee break
15:15 - 17:30: hands-on, participants repeating the procedure
Course prices
Delegate fee
Vertical preparations and no-post fiber reinforced core for crowns - Hands-on - 17th of April 2026 - Copenhagen
Before 1st of Mar: 7.495 DKK / 1.000 €
Before 1st of April: 8.495 DKK / 1.135 €
After 1st of Apr: 9.495 DKK / 1.270 €
DentaNet Members get 10% discount on the delegate fee
-
-
-
Radisson Collection Royal Hotel
Single room
1.795 DKK
-
1.995 DKK
Thursday night
Friday night
Saturday night
No hotel room - thank you
0 DKK / 0 €
Course lecturer
Dr. David Gerdolle
David Gerdolle was born in Epinal (France) in May 1970, and is gratuated from the Dental University of Nancy (1993). He has then achieved a number of Postgraduate Diplomas from the Universities of Paris and Gothenburg, in Oral and Osteo-articular Biology, Implantology, Prosthodontics and Adhesive Dentistry.
David has been member of the teaching staff of the University of Nancy between 1993 and 2005, and he is running a private practice in Vevey-Montreux since 2006. His practice is dedicated to conservative and minimal invasive dentistry. David is currently directing a Postgraduate Certificate at the University of Paris, and is also involved in research programs on resin composites in the University of Nancy.
He is lecturing world while in seminars and congresses, he is also giving hands-on courses and performing live demonstrations on patients in the field of adhesive and minimally invasive dentistry. As an author or an co-author, David has published widely in scientific national and international journals on this topic.
David speaks french, english, spanish and german.





